
ist ein Lückenschluss in 36 ohne Wurzelresonanz möglich?
KFO will zunächst Molare aufrichten. Kommt bei der Aufrichtung genügend Knochenmasse mit?
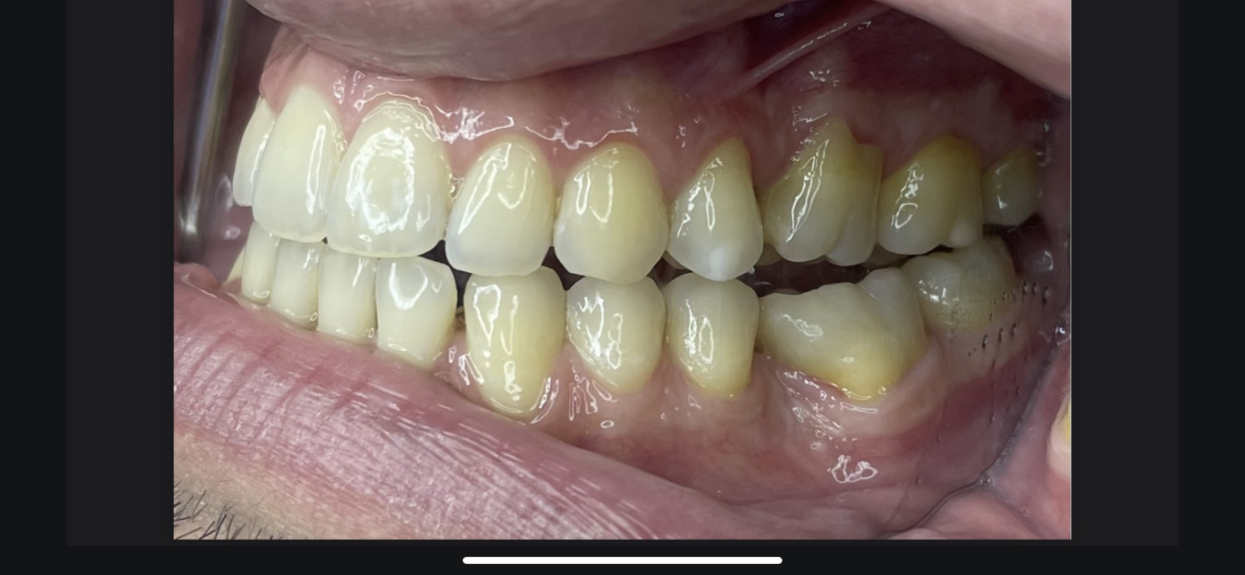
Extraktion 36 war vor 14 Jahren.
Auf dem 2 D Bild ist kein Knochenschwund zu sehen.
Viele Grüße
Özgür
jaroslav belsky Answered question 26. Oktober 2023
sehr lieber özgür,
die lücke ist ja eh zu mit einem aufbau, ich würde keine weitere kfo mehr machen. kostet nur geld und die gefahr eine wurzelresorption bei wdh einer zahnspange wird immer größer. außerdem fokussiere nicht nur auf dein äußeres, das leben ist mehr als deine hülle.
alles liebe.
jaroslav belsky Answered question 27. September 2023

