Guten Tag,
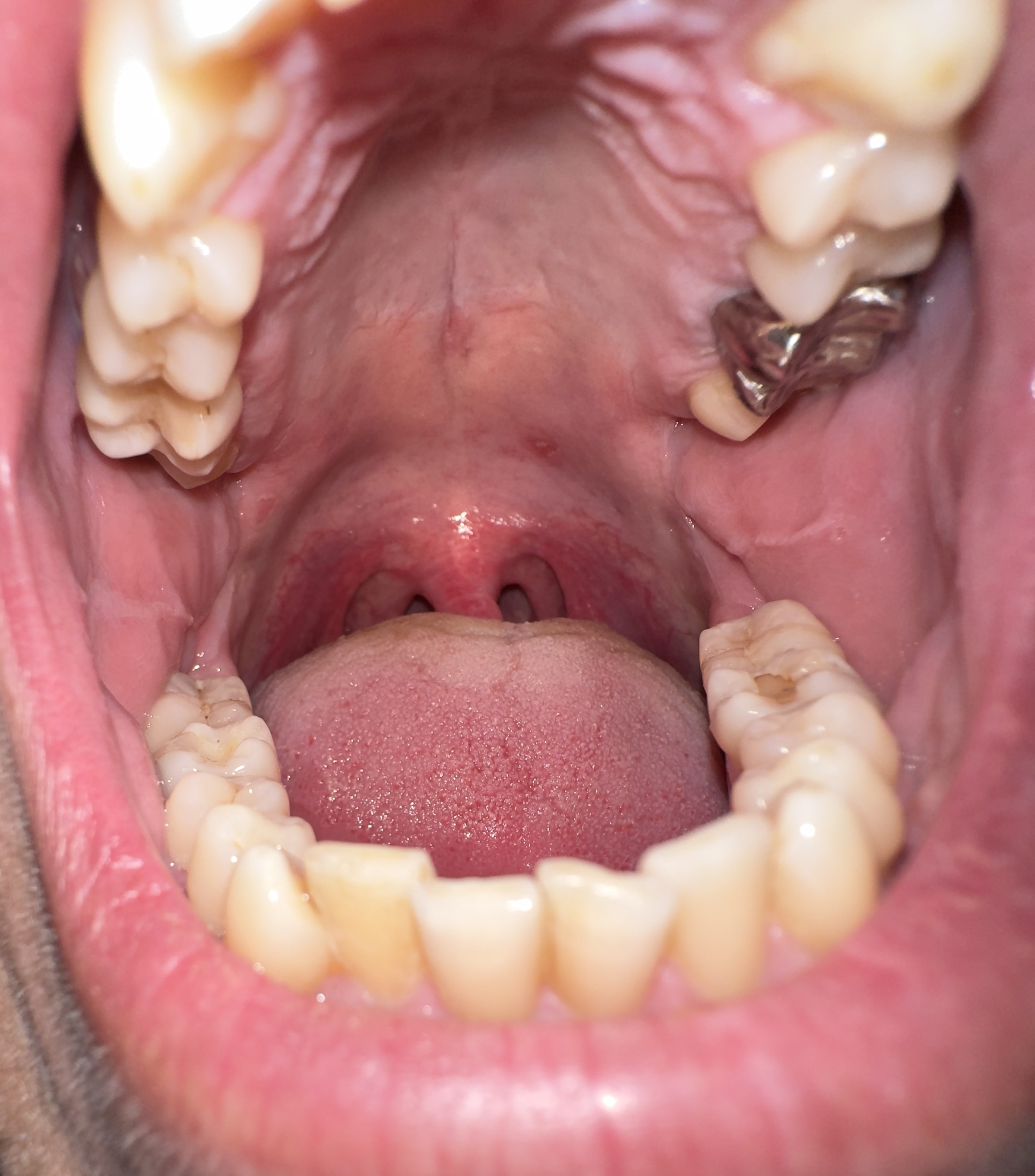
mein Mundschleimhaut ist immer gereizt. War schon beim Hausarzt und 2 verschiedene HNO Ärzte und meinten das es ein normale Mundschleimhaut ist. Das was ich markiert habe, kommt und geht. Nach Zähne putzen schön sauber aber nach dem Essen kommt es wieder ? Bin stark Raucher und 37 Jahre alt. 1x geimpft.
sehr lieber forum benutzer!
das ist eine automatisierte nachricht auf deine frage.
wieso automatisiert?
du findest hier im forum hunderte bilder und fragen, die das gleiche abbilden wie dein post. bitte recherchiere vorher ein wenig, dafür ist das forum ja da und du wirst merken, dass es sich bei deiner veränderung um nichts gefährliches handelt.
gefährlich ist unser kopfkino und unsere trägheit, beides kann erkrankungen auslösen.
was ist die beste therapie gegen diese dinge? im tun bleiben! solltest du sonst noch fragen haben, gern auch über die onlinebesprechung!
alles liebe
Herr Belsky,
Danke für ihr Antwort aber mache mir Sorgen zwecks diese weiße Punkte/stellen. Ist meistens da wo meine Weisheitszähne waren. Schaut aus wie Pilz ?
lg

sehr lieber nico,
ist kein pilz, nur fibrin von kleinen wunden und ev. infektionen durch deine finger im mund.
Vielen Dank Herr Belsky

