
Röntgenbild – Frage zur neuen Füllung
Liebe alle,
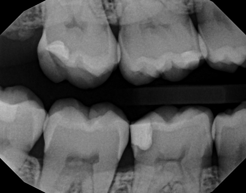
ich habe letzte Woche eine neue Füllung bekommen, weil sich unter der alten Karies befand. Inzwischen war ich bei einem anderen Zahnarzt, der meinte, auf dem Röntgenbild sei weiterhin Karies unter der neuen Füllung zu sehen.
Können solche Ränder oder Schatten auf dem Röntgenbild auch andere Ursachen haben, oder deutet das tatsächlich auf verbliebene Karies hin?
Viele Grüße
Über eine kurze Antwort wäre ich sehr dankbar
sehr liebe sabrina,
das ist keine neue karies, denn so schnell geht das nicht, da ist karies nicht ganz entfernt worden und somit ist die füllung undicht. am besten mit dem behandler reden, vielleicht machte das vorgehen sinn, vielleicht hat er es einfach nur übersehen, dann eben neu machen.