Guten Tag,
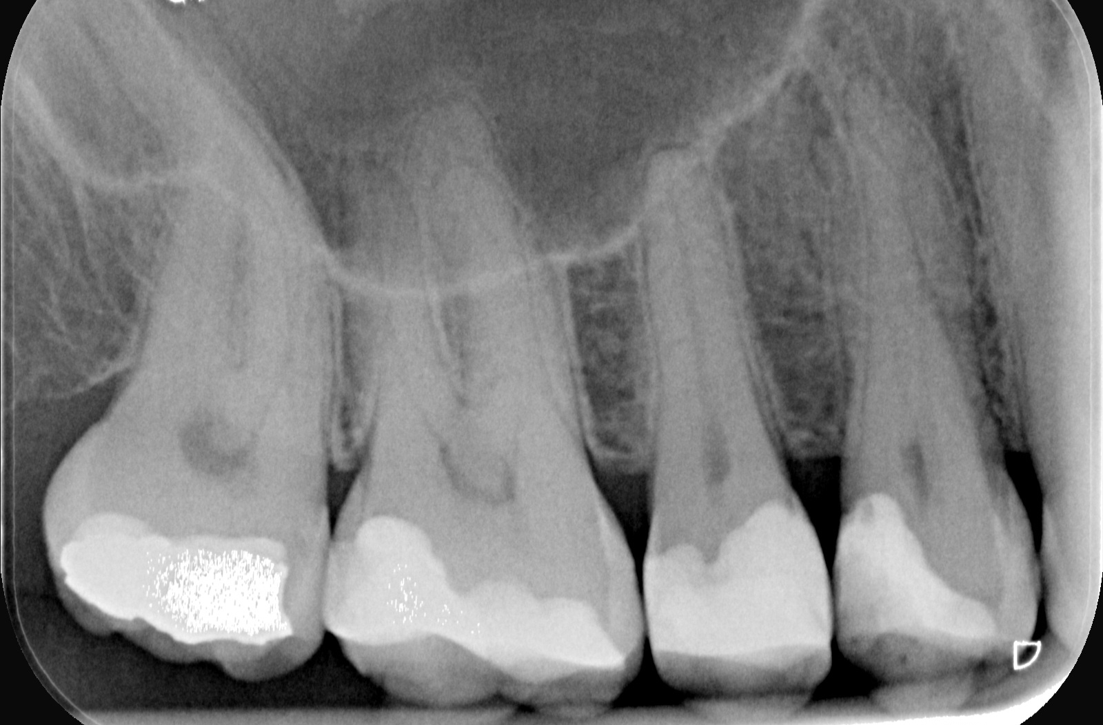
In der Zahnregion 1.4-1.7 habe ich Probleme mit freiliegenden Zahnhälsen sowie Füllungen. Die Zahnregiin ist empfindlich, manchmal auch ein Ziehen. Auf einen konkreten Zahn kann ich es nicht beziehen. Mein Hauszahnarzt kann nicht genau sagen, ob dies von den freiliegenden Zahnhälsen kommt oder ob es noch andere Probleme gibt. Sehen Sie Auffälligkeiten im Röntgen? Für mich sieht es aus, als wäre bei dem 4er Zahn ein dunkler Schatten um den Füllungsrand. Ist dies nur der Kleber der Füllung oder eine erneute Karies? Gibt es sonst aus Ihrer Sicht Auffälligkeiten auf dem Bild?
sehr lieber j90,
sieht alles gut aus, die beschwerden die du beschreibst klingen nach nächtlichen unbewußten pressen / knirschen. zur zeit tun das viele menschen, denn die welt ist im wandel. in der früh wachst du auf und kannst folgende symptome haben:
- gelenksschmerzen
- muskelschmerzen
- zahnschmerzen
- kopfschmerzen
- empfindliche zahnhälse
- druckgefühl im schädelbereich
- zungen- / mundbrennen
- kombinationen aus all dem
wie nach einem wandertag können dir am nächsten tag durch die überbelastung schmerzen entstehen – ist aber harmlos. je nach pressertyp kann der schmerz im laufe des tages, abends, oder morgens kommen.
therapie: keine kauintensiven speisen, viel alleine sein ohne handy, am besten in der natur
