Guten Tag
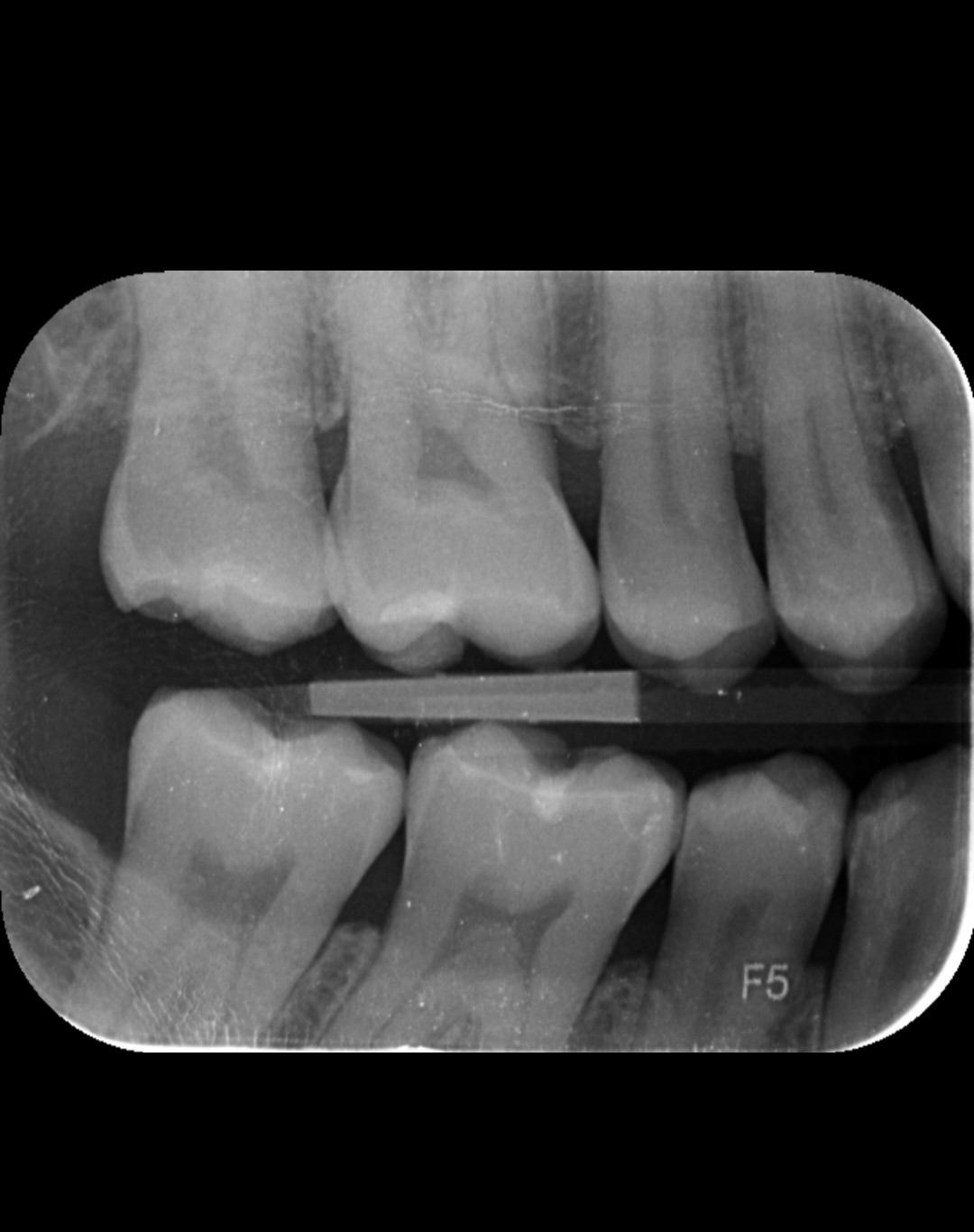
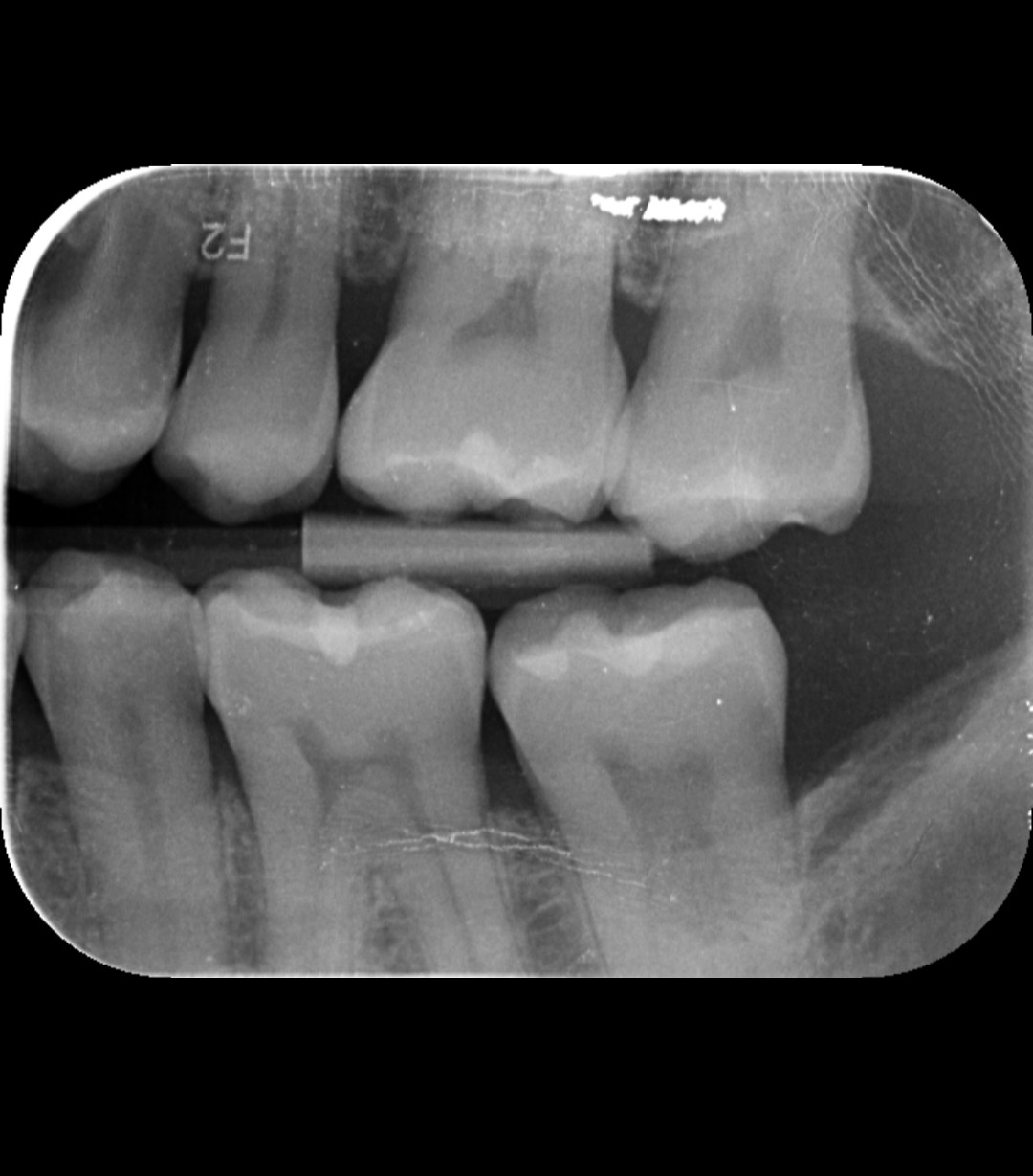
Ich habe wegen Umzugs den Zahnarzt gewechselt und seit vielen Jahren wieder mal ein Röntgen machen lassen. Ich hatte noch nie Karies. Am Schneidezahn vor dem Backenzahn unten links soll laut Zahnärztin Karies sein. Ich sehe nichts. Können Sie etwas erkennen? Vielen Dank für die Hilfe! MfG
Maren Bachmann Asked question 1 Tag ago

