Sehr geehrter Dr. Belsky,
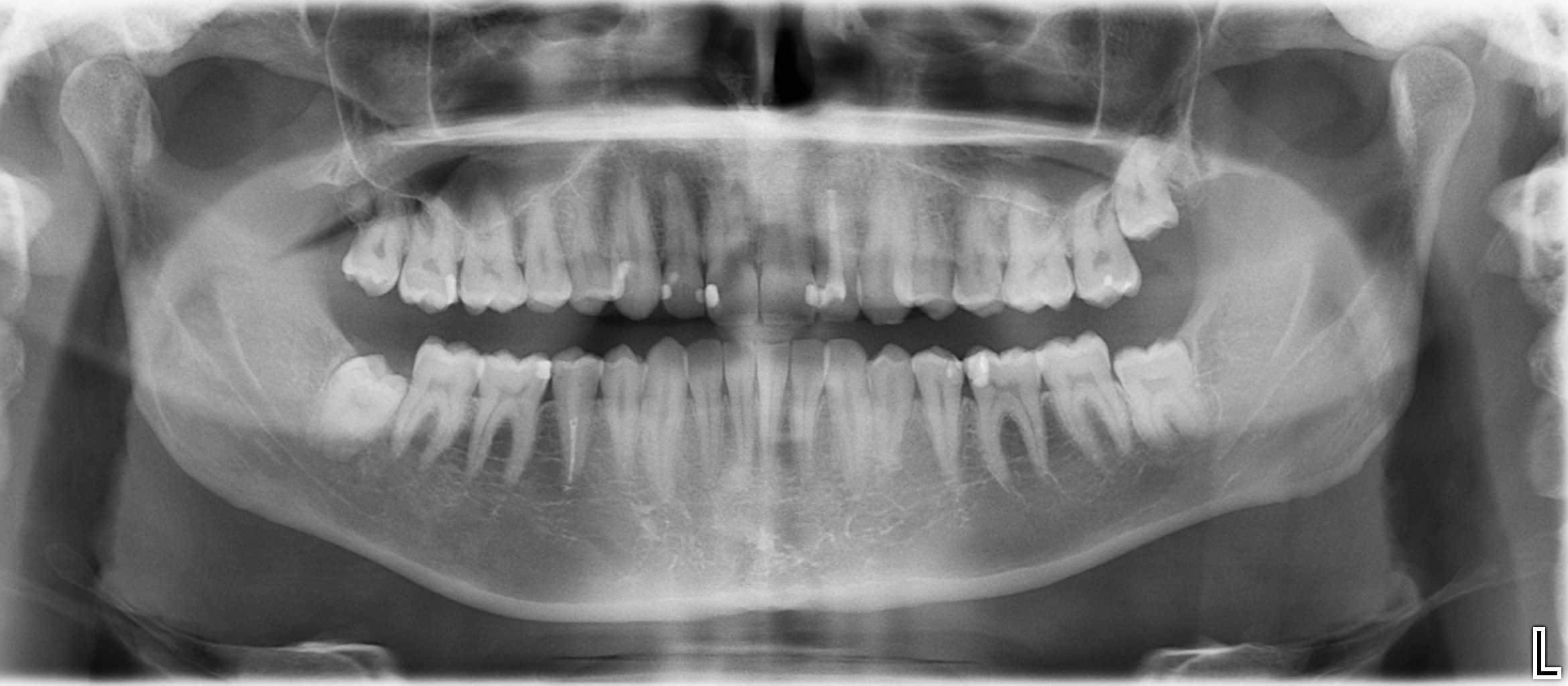
können Sie einmal das beigefügte OPTG sichten und bezüglich Zahnstatus bewerten? Gibt es hier Baustellen, welche auf jeden Fall angegangen werden sollten?
Danke und VG
L.
jaroslav belsky Answered question 23. November 2022
sehr lieber k,
wenn du mit deinen zähnen sterben willst und du ca. noch 40-50 kaujahre vor dir hast, dann würde ich mir:
- 17, 36, 46 ala long ein keramikinlay machen
- 22, 45 gegossenen stift + krone
- bei den frontzähnen sobald die kunststofffüllungen über die zeit größer werden veneers
jaroslav belsky Answered question 23. November 2022
