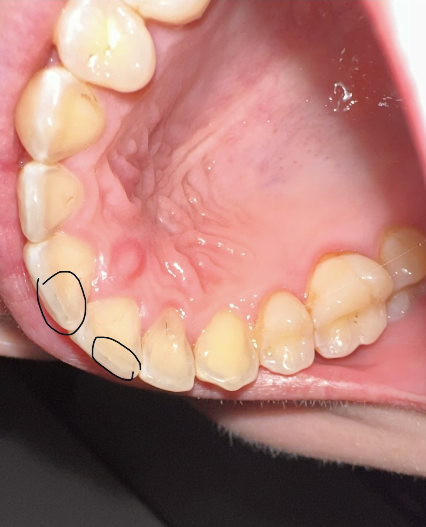
Ist das eine Zahnerosion zu sehen und was sind die eingekreisten Stellen?
jaroslav belsky Answered question 19. Juni 2025
sehr liebe doreen,
ja leichte zahnerosion, muss man nichts machen …
jaroslav belsky Answered question 23. April 2025
Vielen Dank für die Antwort.
Und was sind die eingekreisten Stellen?
Doreen Goldmann Answered question 10. Mai 2025
sehr liebe doreen,
zahnerosion …
jaroslav belsky Answered question 19. Juni 2025
