Scheinbar tiefes Loch das demnächst eine Füllung bekommt. Ist das erkennbar wenn ja wo?
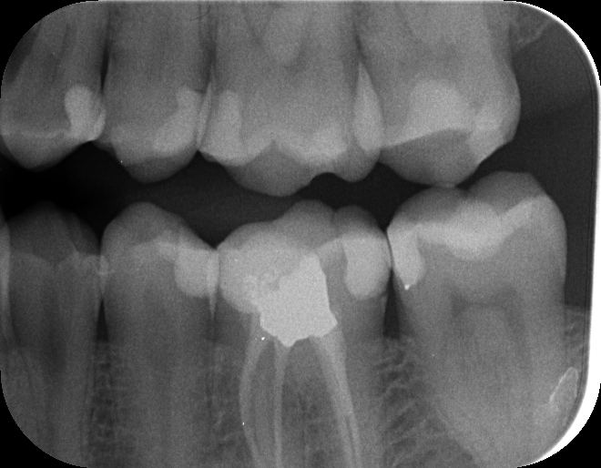
BILD 1:
BILD 2:
jaroslav belsky Answered question 19. Juni 2025
sehr lieber klaus,
beim 18 würde ich vielleicht noch eine aufnahme machen,
dort ist es etwas unklar,
sonst sehe ich nichts
jaroslav belsky Answered question 22. April 2025
18er oberer rechter Weißheitszahn bereits 2 Füllungen. Loch sehr groß.
Entscheidung heute: Extraktion, vor weiterer Füllung, da diese vermutlich bis zu Nerv geht.
Und tatsächlich der Extrahierte Zahn zeigt die Tiefe des Loches bis zum Nerv.
=> Gute Entscheidung den zu extrahieren.
Klaus S Answered question 19. Mai 2025
alles gute
jaroslav belsky Answered question 19. Juni 2025

