Hallo ich bin mir nicht sicher ob ich laries habe oder es doch nur eine verfärbung ist bitte helfen sie mir
jaroslav belsky Unselected an answer 13. Dezember 2024
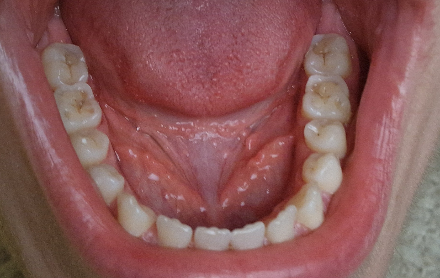
sehr liebe cute,
sehe keine karies, nur verfärbungen
jaroslav belsky Unselected an answer 13. Dezember 2024