Sehr geehrter Dr. Belsky!
Ich habe vor Jahren bei einem Unfall meinen Frontzahn verloren. Damals wurde mir die Lücke mit einer abnehmbaren Prothese versorgt – die Nachbarzähne begannen daraufhin zu wandern. :confused:
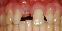
Ich habe Ihnen ein Bild mitgeschickt, vielleicht könnten Sie mir ein bißchen darüber schreiben!
[IMG]http://www.denta-beaute.at/zahnforum/attachments/frage-antwort-ddr-belsky-beraet-sie-persoenlich/13d1175768266-knochenverlust-zahnluck.jpg[/IMG]
Nun ist der Knochen in diesem Bereich wie Sie sehen ebenfalls zurückgegangen – ich habe gehört Sie verwenden spezielles Knochenersatzmaterial, welches mit Medikamenten vorbehandelt ist, sodass es besser einheilt.
Ist so eine Operation immer möglich? – macht dies auch bei einem Zahn Sinn?
Vielen Dank für Ihre Antwort
[B]Liebe Frau Susan![/B]
Generell kann man sagen – ja!
Unser Körper -wie alle biologischen Systeme- ist ein Ökonom. Use it, or lose it!
Wie schnell sich der Alveolarknochen zurückbildet ist von verschiedenen Faktoren abhängig, unter anderem auch genetisch festgelegt.
Zuerst wird der Alveolarknochen dünn, danach geht er in der Höhe zurück. Die gute Nachricht ist, man kann Knochen wieder aufbauen, diesen muss man dann aber wieder belasten – sonst war die OP für die “Katz”. 😎
