Lieber Herr Dr. Belsky,
ich habe wie es scheint eine klassische Zahnkarriere hingelegt, so wie Sie sie beschreiben. Leider hab ich das erst mit Hilfe ihres Forums rausgefunden.
Ich wäre sehr an Ihrer Einschätzung zu meinem Fall interessiert und danke Ihnen schon mal vorab.
Nach erfolgreicher Implantierung im Bereich 36 wurde mir nach 3 Monaten Einheilungsphase die Krone aufgeschraubt. Nach ca 1h zu Hause gingen Schmerzen los, 34 und 35 waren plötzlich druckempfindlich und 35 auch noch aufbissempfindlich und beide haben geschmerzt, die Krone selbst hat sich sehr fremd angefühlt, zu groß, nicht richtig ins Gebiss passend. Ich dachte mir erst nichts dabei, dachte, die Umgebung muss sich erst daran gewöhnen. Leider wurde es nicht besser. 3 Tage später zum Arzt, Krone wurde wieder abgenommen 35 und 34 haben sich wieder vollständig beruhigt. 6 Wochen später neuer Versuch, 1h später dann die große Erleichterung, Krone fühlt sich perfekt sitzend an, keine Schmerzen. Nur 35 hat sich nicht mehr so richtig erholt. Beim reinigen mit Interdentalbürstchen gibt es im Zahnzwischenraum, unter dem Zahnfleischsaum einen Punkt der schmerzt. Dieser Schmerz lässt sich provozieren ist aber auch einfach eigenständig da, gellend, hell. Dann wurde der Zahn plötzlich stark Berührungsempfindlich am äußeren Rand zur Wange hin, dies lies sich aber mit Versiegelung des Zahnhalses wieder beheben. Aber die andere Symptomatik blieb. Ich hatte im Zahnzwischenraumbereich auch eine Entzündung die blutete, aber auch das lies sich mit Chlorhexamed beheben. Dennoch.. das gellen im Zahnzwischenraum blieb und kommt immer wieder. Leider hab ich die Aussage „dann kann man nur eine Wurzelbehandlung probieren“ schon zu oft gehört, zwar noch nicht im Zusammenhang mit diesem Zahn, aber das ist leider immer die einzige Lösung. Ich bin nun mittlerweile mehr als vorsichtig geworden, und frage genau nach und lass mir Diagnosen erklären. Bevor ich hier also loslege, was wäre ihre Diagnose (soweit eben möglich via Web).
Vielen lieben Dank, Lyn
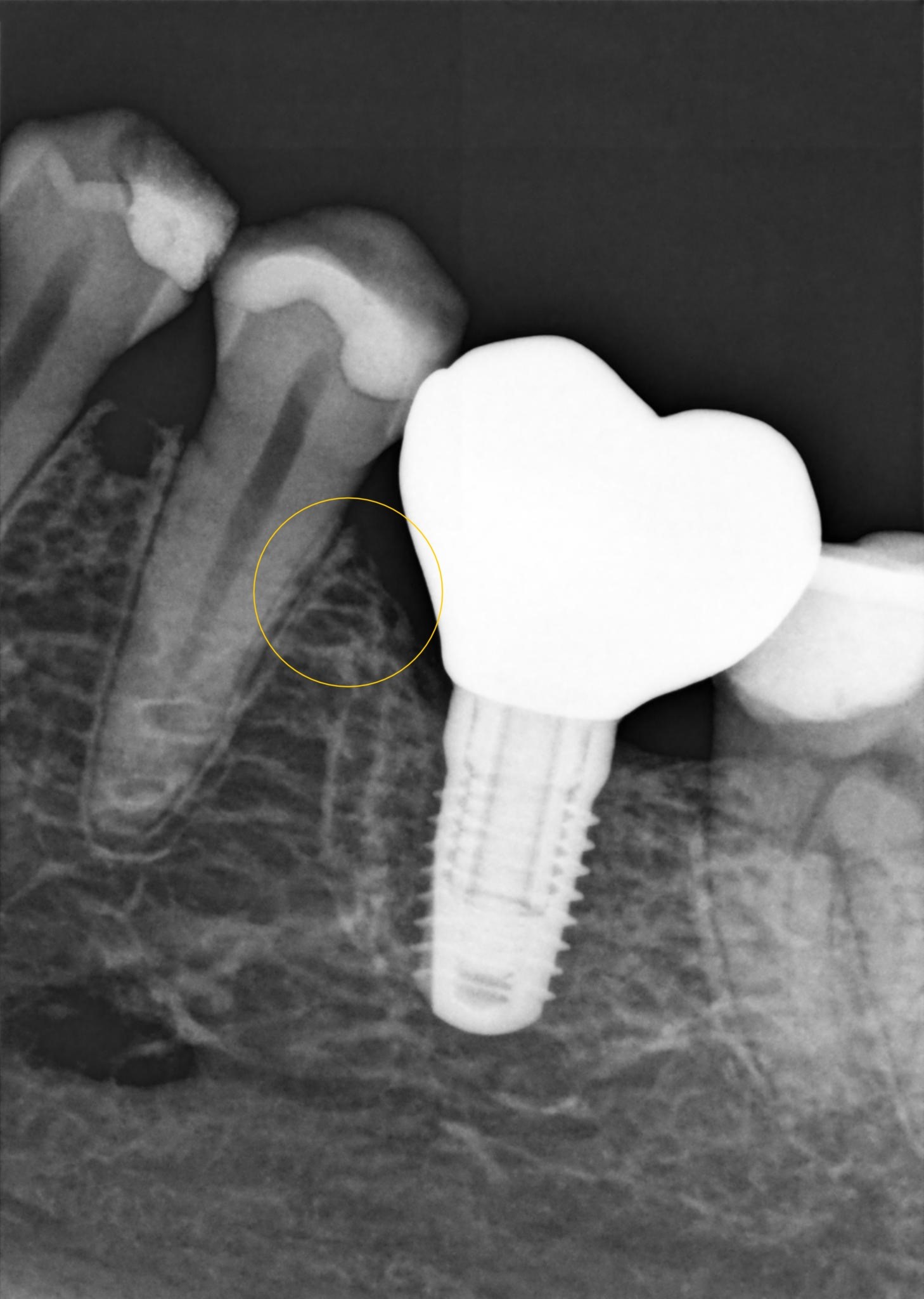
Röntgenbild habe ich angefordert, kommt hoffentlich schnell.
Das ist das aktuellste Röntgenbild.
sehr liebe lyn,
wie scheint ist die zahnkrone zu groß und übt auf die nachbarzähne einen druck aus, daher der schmerz, sobald die lokalanästhesie nachließ. am besten die kontaktpunkte prüfen und bei bedarf reduzieren.
Danke für die Einschätzung, ja das war auch so mein Ansatz, rein aus dem Gefühl raus, der Arzt wollte nicht viel davon hören. Beim zweiten Einsetzen wurde auch lange geschliffen. Was jedenfalls was gebracht hat, aber weg war’s nie. Mir scheint der Schmerz kommt von der Wurzel, also tiefer drinnen, so ein Phänomen kann auch vom Druck auf den Zahn kommen wenn die künstliche Krone auf die Zahnkrone drückt?
lg lyn
Hallo nochmals,
Ich war wie sie vorgeschlagen haben den Kontaktpunkt prüfen. Der, so wurde mir gesagt, sei passend. Erklärbar waren die Schmerzen daher nicht. Die Füllung ist lt Arzt nicht locker und er erkenne auch keine Karies unter der Füllung. Dennoch ist dieser Zahn immer wieder empfindlich und schmerzt auch leicht, nicht immer täglich, aber eben oft genug. Mein ZA möchte die Füllung in Ruhe lassen. Was würden Sie meinen, da die Füllung ja nun recht groß ist und somit nah am Zahnnerv, das hier das Problem liegen könnte? Danke und Lg lyn
sehr liebe lyn,
wenn dein za keinen zu straffen kontasktpunkt erkennt, dann suche dir einen anderen arzt, denn deine geschichte liest sich klassisch. man geht zum arzt, bekommt eine anästhesie und eine zahnkrone wird eingesetzt. wenn die anästhesie aufhört zu wirken, hat man das gefühl die zähne passen nicht gut aufeinender, sogar die zähne, wo nichts gemacht wurde. durch die zu große krone werden die nachbarzähne minimal verschoben, dadurch verändern sich die zahnkontakte und es entstehen vorkontakte (bereiche wo du zu stark aufbeißt). das führt zu einem oklussalem trauma. wenn dann die krone abgenommen wird, rücken die zähne in ihre alte psoition und der spuk ist vorbei. wenn dann aber in der region zu viel herumgedoktert wird – falsch herum gedoktert wird, dann wird es schlimmer. wenn du wandern warst und deine beine überanstrengt sind, wird es nicht durch massagen, kneten, verbiegen der gelenke … besser, nur durch schonung.
alles liebe

