Hallo lieber Dr. Belsky,
Sie haben mir schon einmal sehr geholfen nun wende ich nochmal an Sie da ich immernoch keinen gescheiten Zahnarzt finden kann.
Ich führe mal etwas weiter aus damit Sie das vlt besser beurteilen können. Ich knirsche generell schon lange mit den Zähnen das Problem ist auch schon bekannt war aber in der Vergangenheit mit der Schiene einigermaßen in Griff zu kriegen. Seitdem bei mir leider ein Zahnarzt extrem gepfuscht hat und es mich 2 Zähne gekostet hat habe ich nur noch Beschwerden und irgendwie kann mir keiner so recht weiterhelfen. Auf der rechten Seite wurde der 1,4 gezogen ( nach etlichen Wurzelbehandlungen) und einer daraus resultierenden chron. Sinusitis rechts und eine Adhäsivbrucke angebracht und der 1,7 Wurzelbehandelt wobei da immer wieder ein Stück der Füllung abbricht. Ich habe nun seit Wochen einen Tinnitus rechts mit rauschen vorrallem wenn jemand spricht oder ich Geräusche höre. Und das Ohr fühlt sich dumpf an als wäre dort Wasser oder ähnliches dahinter. Beim hno wurde schon ein Problem am Ohr ausgeschlossen. Meine Frage ist wo fange ich jetzt an und wer könnte mir da helfen? Ich bin etwas verzweifelt da mein Zahnarzt nur Termine mit 2 monaten Wartezeit vergibt selbst wenn ein Zahn gebrochen ist wie es nun beim 1,7 der Fall ist. Anscheinend gibt es Zahnärzte die keine akuten Fälle behandeln sondern lieber bleachings und veneers vornehmen…eine Zahnschiene habe ich bekommen allesdings wurde die nur mitgegeben ohne korrigiert zu werden und diese passt nicht und stört noch mehr. Ich habe selbst etwas recherchiert und vermute vlt eine kiefergelenkentzündung und Arthrose kann das sein? Ich würde mich sehr über einen kleinen Rat freuen der mich in die richtige Richtung bringt. Glg
sehr liebe leila,
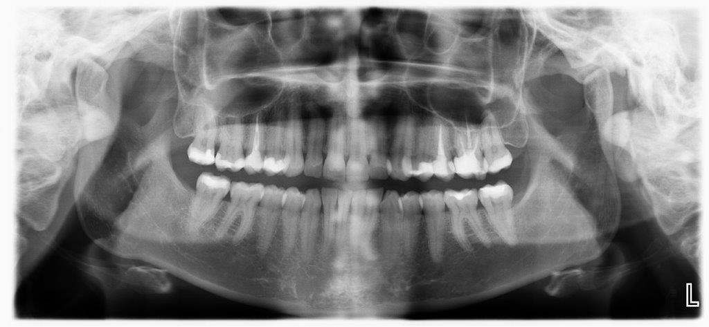
eine adhesivbrücke ist bei knirschern / pressern kontraindiziert. die ankerzähne werden mehr belastet, besser wäre eine normale brücke und vermutlich noch besser, ein zahnimplantat, denn so verlagert man den kaudruck auf mehr “pfeiler”. wenn du mir ein aktuelles panormaröntgen hochladest, kann ich dir mehr sagen.
Hallo Dr. Belsky,
Das ist ja nicht so toll ich habe auch das Gefühl ich knirschen viel auf der Brücke und dem nebenliegenden Zahn. Die Brücke ist auch schon einmal abgebrochen vor kurzem und wurde wieder befestigt. Ich habe leider nur ein Röntgenbild auf dem der 1,4 noch drin ist und der 1,7 noch nicht Wurzelbehandelt aber vlt können Sie trotzdem etwas bezüglich des kiefer sehen. Danach war ich schwanger und man konnte bis jetzt kein Bild mehr machen was aktuell ist. Wie kann ich das den hier überhaupt mit abhängen oder per Mail?
LG leila
Okay schon herausgefunden 
sehr liebe leila,
wie scheint hast du dir deine füllungen gegen weiße tauschen lassen – kunststoffe. die sind viel schlechter als das amalgam. wenn du dem link folgst, wirst viele videos zu dem thema finden. lasse dir den mund mit liebe einmal sanieren, begreife wieso du die zahnfüllungen nach einem gewissen muster hast und alles wird gut …
Gut zu wissen 👍danke für ihre Zeit und die Empfehlung das werde ich machen.
LG